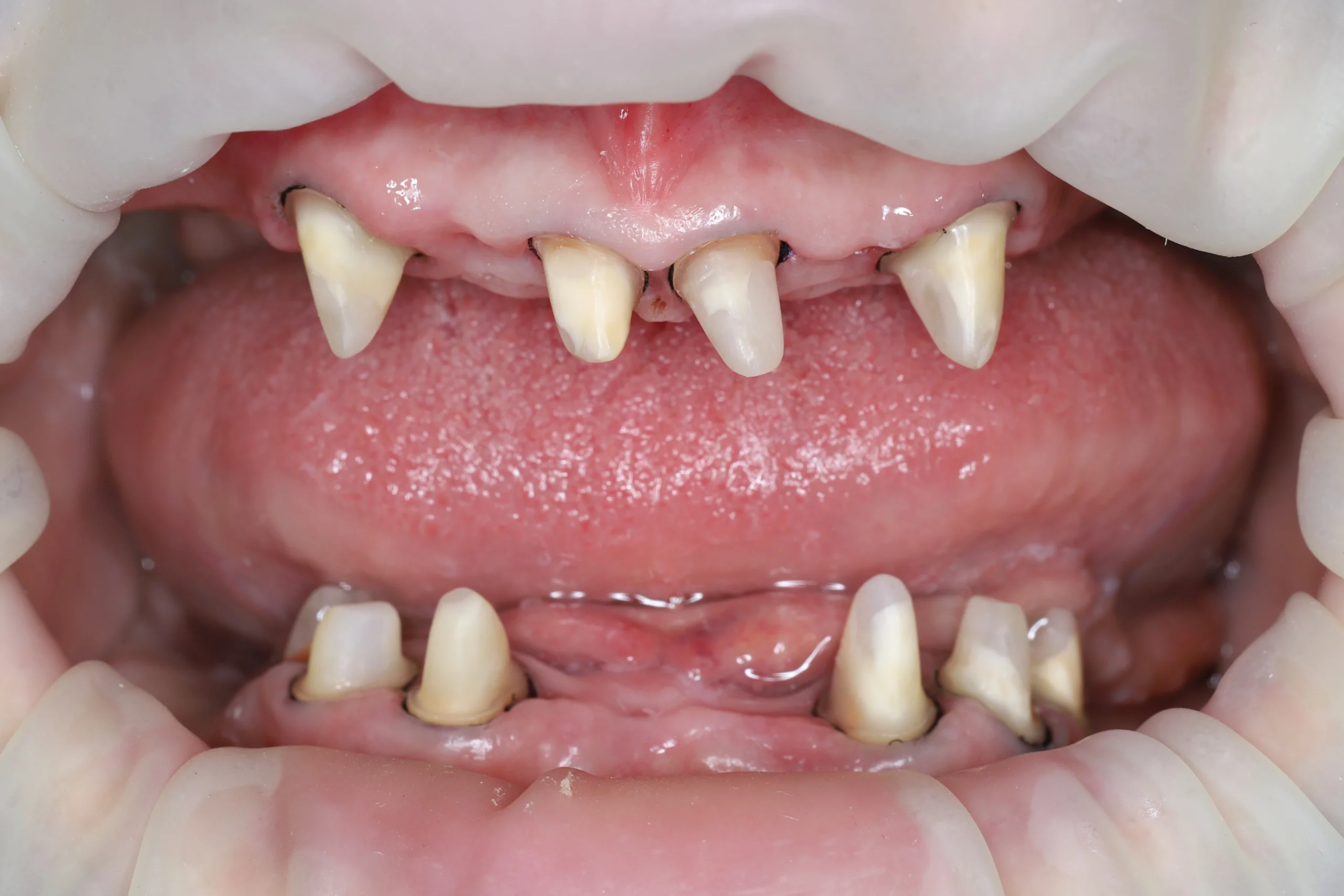
Основная жалоба пациентки — жалобы на подвижность зубов, разрушение и утрату значительного количества зубов, неприятный запах изо рта, эстетический и функциональный дискомфорт во время жевания и общения.
Диагноз: хронический генерализованный пародонтит со вторичной адентией во всех сегментах челюстей. Стадия декомпенсации, с глубокими пародонтальными карманами и потерей костной поддержки вокруг сохранившихся зубов. Гноетечение из пародонтальных карманов.
План лечения:
- Удаление имеющихся зубов, не подлежащих дальнейшему лечению
- Комплексное снятие зубных отложений + открытый кюретаж
- Проведение эндодонтического лечения в зубах, подлежащих сохранению
- Установка стекловолоконных штифтов и восстановление культей зубов
- Временная ортопедическая реабилитация — клинические и лабораторные PMMA-коронки
- Подготовка к имплантационному этапу: цифровое планирование, сканирование, хирургические шаблоны
- Установка имплантатов в зонах утраты зубов
- После остеоинтеграции — постоянное протезирование циркониевыми коронками.
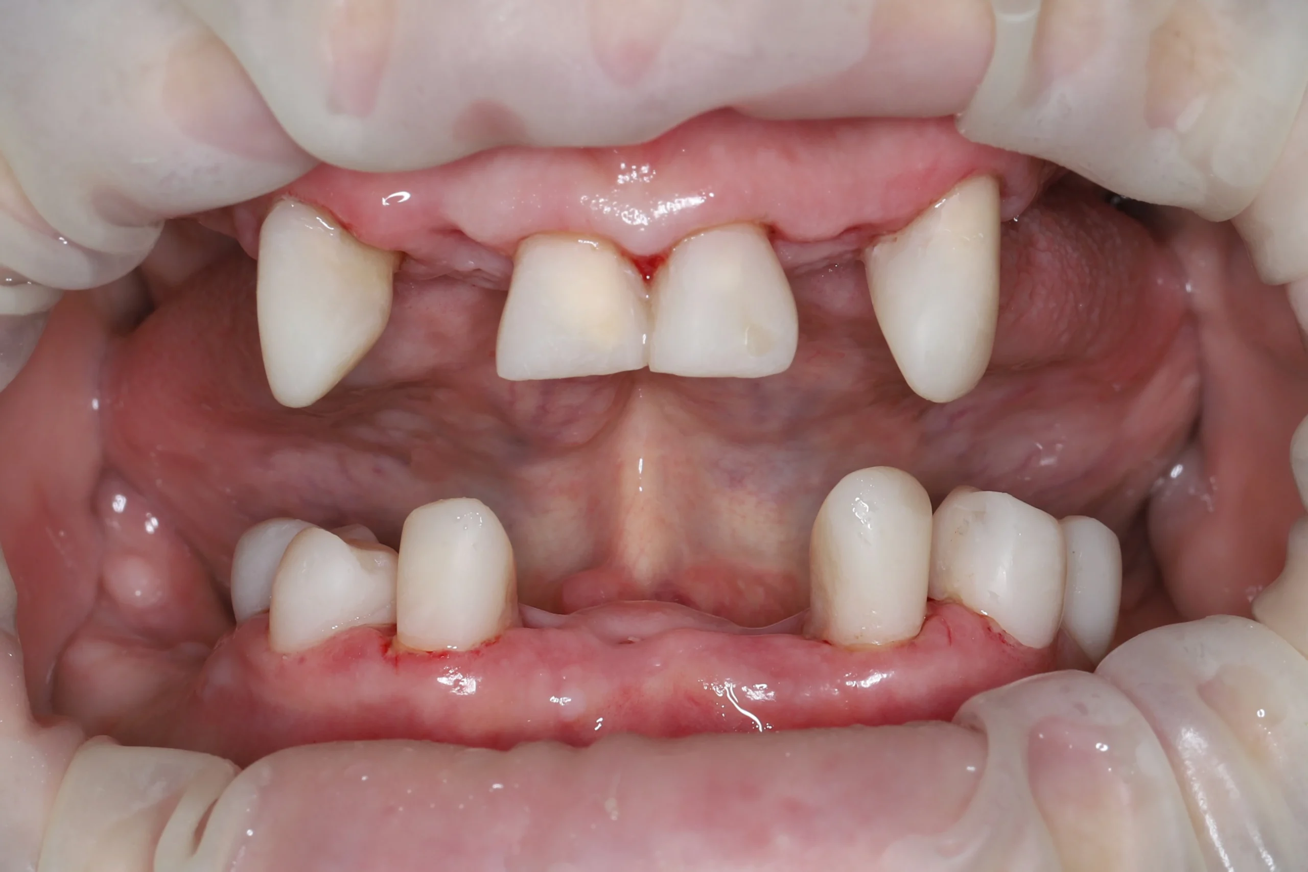
Хирургический этап
Было проведено одномоментное удаление всех зубов, не подлежащих дальнейшему лечению. Наложены швы, даны рекомендации по уходу.
Гигиена
После снятия швов пациентке выполнили комплексную чистку оставленных зубов.
Эндодонтия + терапия
Выполнили эндодонтическое лечение зубов, сохраняемых для дальнейшего протезирования и восстановления функции. Корневые каналы обработали, запломбировали, пролечили кариес и восстановили анатомическую форму зубов. Сняли силиконовые оттиски под временные клинические коронки.
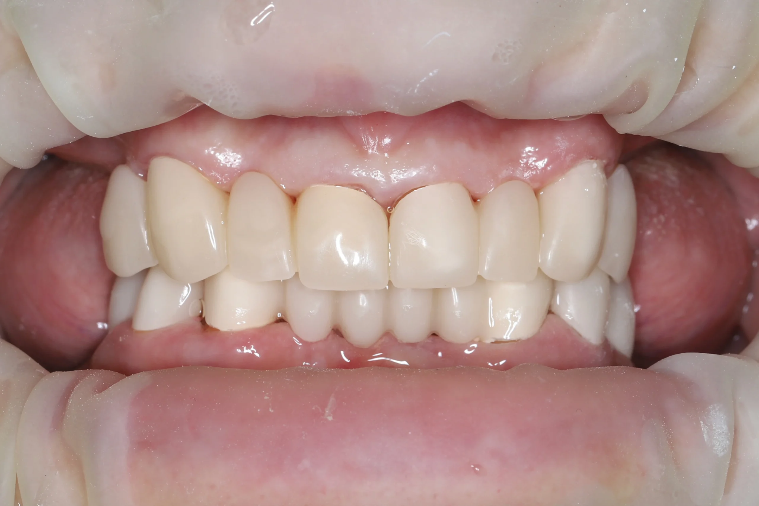
Ортопедическая подготовка
Поскольку у пациентки было значительное разрушение твёрдых тканей зубов и большие старые пломбы, в корневые каналы эндодонтически пролеченных зубов установили стекловолоконные штифты и сформировали культи под будущие коронки.

Сразу сняли цифровые оттиски внутриротовым сканером под PMMA-коронки и изготовили временные клинические коронки с помощью ранее полученных силиконовых оттисков.

Несмотря на все сложности этапов, в предвкушении будущих коронок пациентка всегда покидала клинику в приподнятом настроении.
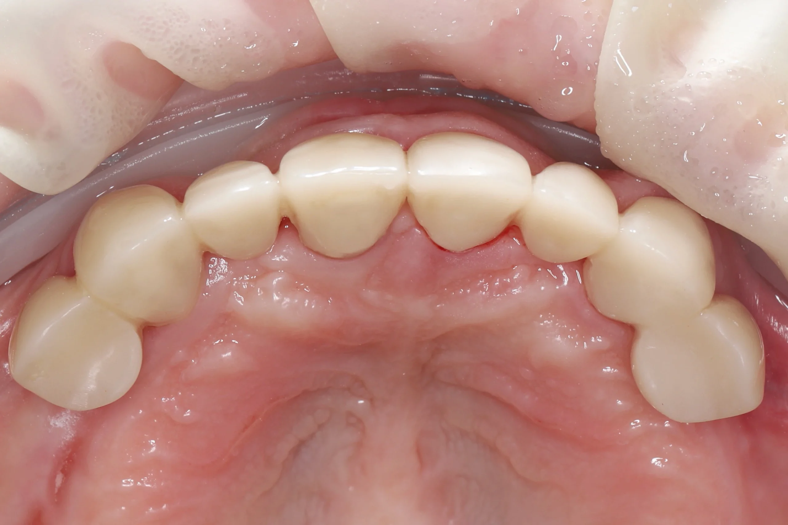
Фиксация PMMA
На основе цифровых оттисков в лаборатории изготовили PMMA-коронки (промежуточные между временными клиническими и постоянными). Они обеспечили стабилизацию прикуса, восстановление и адаптацию слизистой полости рта перед имплантацией.

Открытый кюретаж
Также с целью улучшения состояния дёсен, уменьшения глубины пародонтальных карманов и выраженности воспаления пациентке выполнили открытый кюретаж. В результате сформировался стабильный контур дёсен: они стали бледно-розовыми, плотными, без кровоточивости. Исчез галитоз — неприятный запах изо рта.

Имплантация зубов
Наконец, через 6 месяцев с момента обращения в клинику пациентке была выполнена установка имплантатов Ritter в области отсутствующих зубов. Первичная стабильность хорошая, заживление прошло без осложнений.
Текущий статус
Пациентка ходит с PMMA-коронками, окклюзия стабильна, слизистая без признаков воспаления. Через 3–4 месяца после имплантации планируется финальный этап — протезирование постоянными конструкциями.
Результаты на этом этапе:
- Восстановлены жевательная функция и эстетика улыбки
- Стабилизированы контур дёсен и состояние пародонта
- Пациентка комфортно адаптировалась к временным реставрациям и отмечает улучшение дикции и уверенности при общении.


