Основная жалоба пациентки — дискомфорт и подвижность старого мостовидного протеза на зубах нижней челюсти слева.
Был выполнен КТ-снимок и выявлены хронический периодонтит и кариес корня 37 зуба под опорной металлокерамической коронкой. 36-й зуб был утрачен давно, 35-й, также опорный, ранее эндодонтически пролечен — без особенностей. 34-й зуб — только с пломбой после лечения корневого канала.
План лечения:
- Удаление 37 зуба
- Через 3 месяца — установка 2-х зубных имплантатов Ritter в области 36 и 37 для восстановления жевательной эффективности
- Еще через 3 месяца — протезирование имплантатов и 34, 35 зубов циркониевыми коронками для достижения функции и эстетики.
Хирургический этап
Проведено атравматичное удаление 37 зуба. Через 3 месяца после оценки костной ткани было выполнено интраоральное сканирование, напечатан хирургический шаблон и установлены два имплантата Ritter в области 36 и 37 зубов. Наложены швы, даны рекомендации по уходу.
Послеоперационный период
Заживление прошло без осложнений, слизистая бледно-розового цвета. Через
3 месяца была выполнена контрольная рентгенография: костный уровень сохранен, признаков воспаления нет, имплантаты остеоинтегрированы. Проведено раскрытие имплантатов и установлены индивидуализированные формирователи десны.

Ортопедический этап
Пациентка хотела решить проблему только локально и попросила запротезировать ее в привычной окклюзии. Был проведен фотопротокол и сделан цифровой оттиск, которые отправлены в лабораторию.

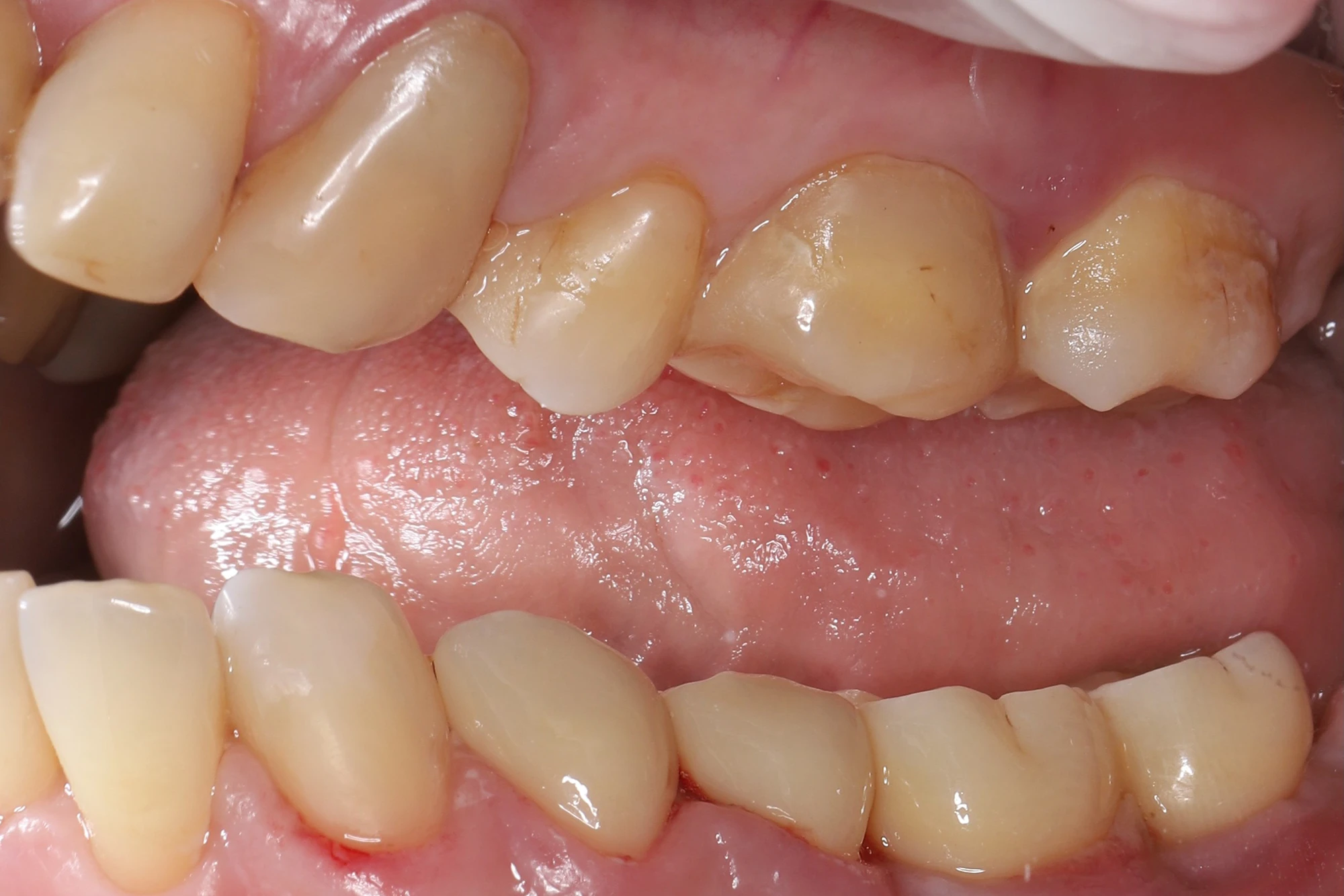
Зубной техник изготовил две циркониевые коронки на имплантатах (36, 37), а также новые полноанатомические циркониевые коронки на 34 и 35 зубы в единой цветовой гамме.

Фиксация
Во время визита пациентки в клинику были проверены посадка ортопедических реставраций, их краевое прилегание, окклюзионные контакты, симметрия и эстетическая составляющая. Пролечен контактный и пришеечный кариес на 33 зубе. Коронки на имплантатах зафиксированы винтовым способом, на своих зубах — на стеклоиономерный цемент.

Результат
- Восстановлена жевательная функция в левом сегменте нижней челюсти.
- Достигнута хорошая эстетика: циркониевые реставрации на зубах и имплантатах гармонично сочетаются по цвету и форме.
- Пациентка отметила отсутствие какого-либо дискомфорта после фиксации и осталась полностью довольна полученным результатом.


