Естетическое восстановление центральных резцов циркониевыми коронками

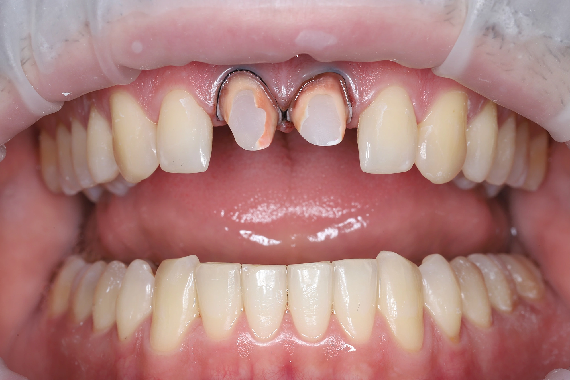
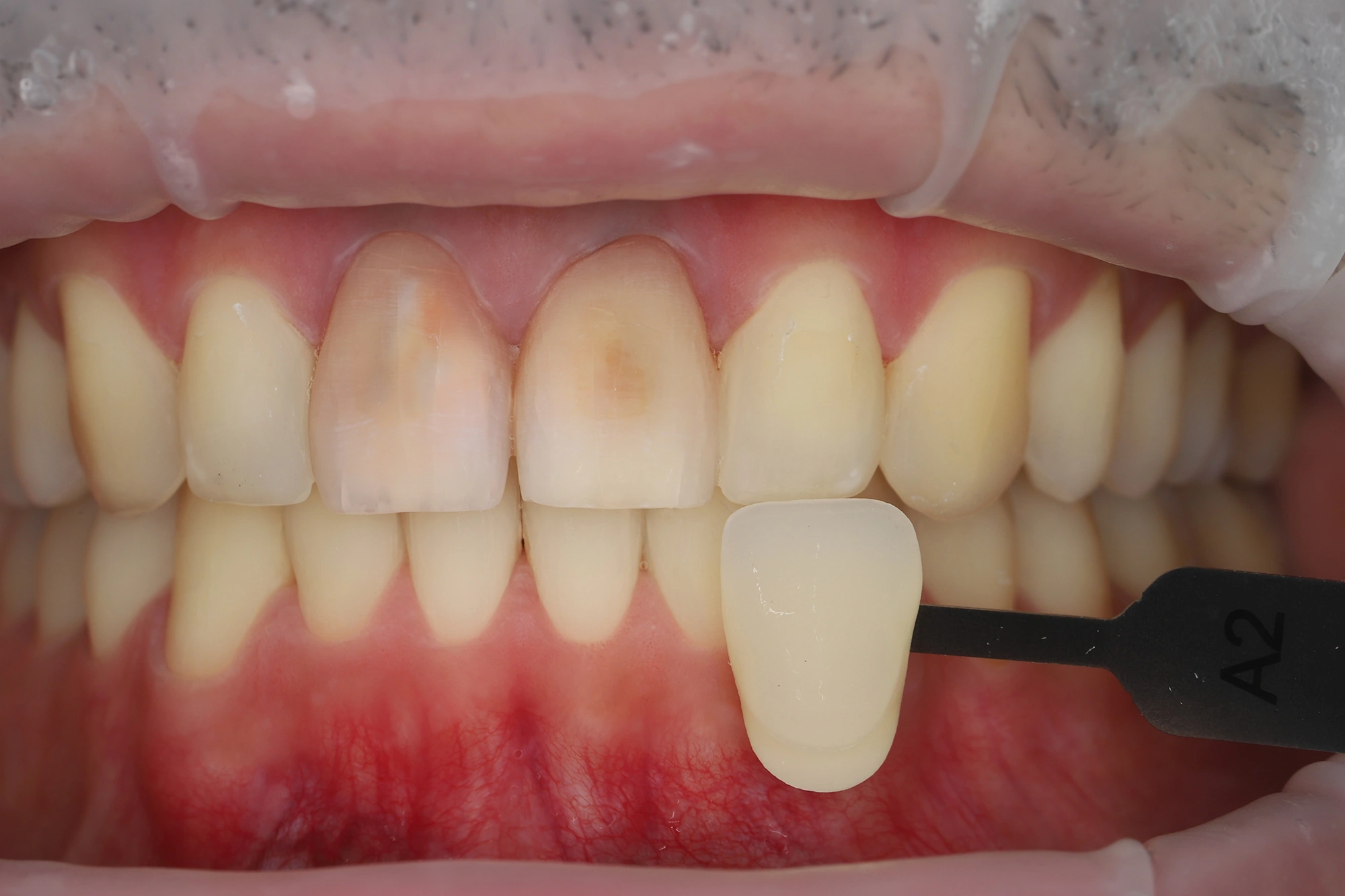
Пациент обратился с жалобой на эстетику двух верхних центральных резцов. Изменение цвета зубов произошло после ранее проведённого эндодонтического лечения с пломбированием корневых каналов пастой на основе резорцин-формалина: зубы приобрели розово-коричневый оттенок и резко выделялись в зоне улыбки.

Клиническая ситуация: 11, 21 зубы без кариеса и эндопатологии.

Основная жалоба пациента — их неудовлетворительный эстетический вид.

Пожелание пациента — чтобы будущие коронки выглядели полностью как свои родные зубы и перекрыли дисколорацию.

План лечения: ортопедическое восстановление 11 и 21 зубов двумя отдельными циркониевыми коронками с максимально естественной эстетикой и микроанатомией. Потребовалось 2 визита пациента в клинику.
 
Эстетическое восстановление центральных резцов циркониевыми коронками
 

Визит 1:

Подбор и согласование цвета будущих коронок, фотопротокол, в том числе с поляризационным фильтром для лаборатории.
 
Эстетическое восстановление центральных резцов циркониевыми коронками
 

  • Оттиск силиконовой массой для  будущих временных клинических коронок.
  • Проведено деликатное препарирование твёрдых тканей зубов под циркониевые коронки.

 

 

  • Цифровой оттиск интраоральным сканером для изготовления постоянных зубных коронок.
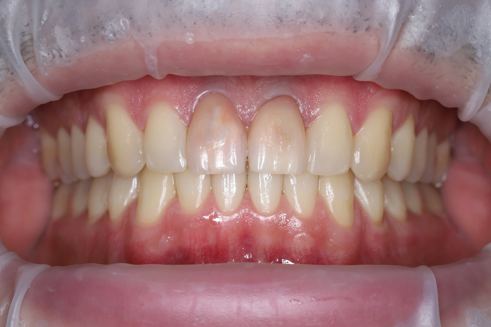
  • Изготовлены и зафиксированы временные коронки из клинической пластмассы на период изготовления будущей работы.

 
Эстетическое восстановление центральных резцов циркониевыми коронками
 

Визит 2:

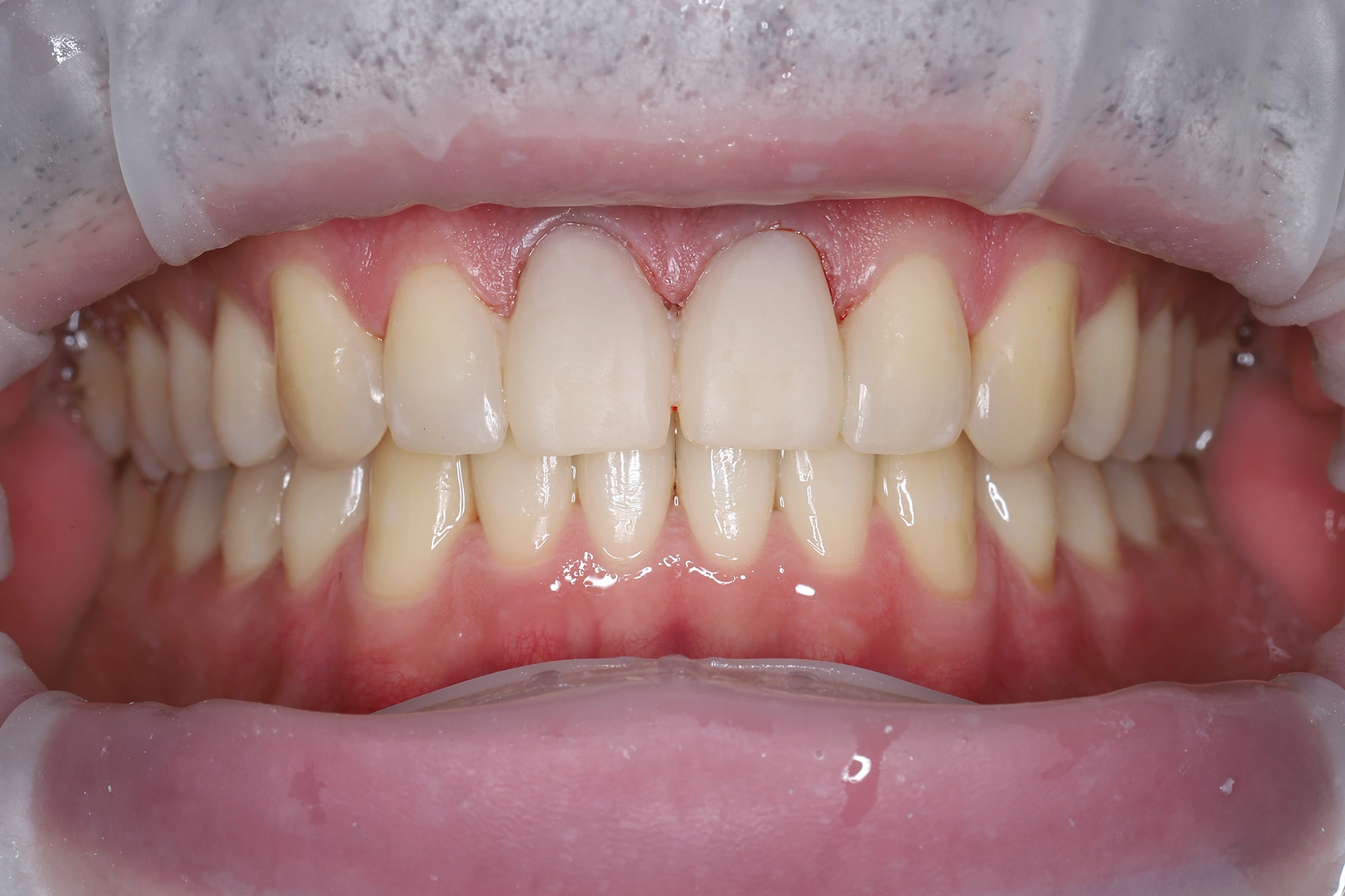
Контроль посадки, краевого прилегания и цвета.
 
восстановление
 

  • Примерка во рту и согласование эстетики с пациентом.
  • Фиксация двух циркониевых коронок на стеклоиономерный цемент.

 
Эстетическое восстановление центральных резцов циркониевыми коронками  

Результат:

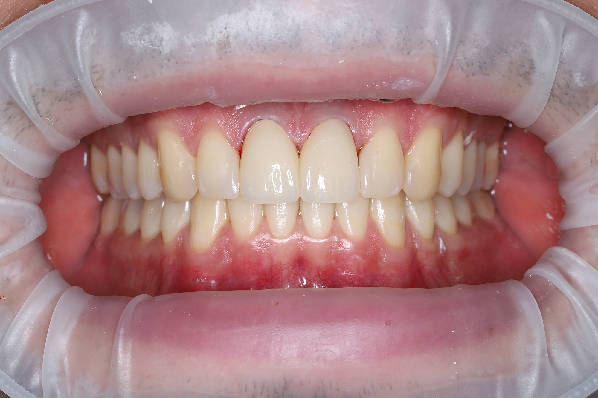
  • Цвет и прозрачность гармонизированы с остальным зубным рядом, дисколорация перекрыта.
  • Комфорт по прикусу без ощущения «чужеродности», дикция не изменена.
  • Пациент отметил, что снова свободно улыбается в повседневных ситуациях и на фото.

 
Восстановление передних зубов циркониевыми коронками

Автор: Дяченко Владислав

Руководитель стоматологического отделения. Стоматолог-ортопед, терапевт, эндодонтист.

Telegram